Владимирские врачи обнаружили у подростка сложную "юношескую" опухоль

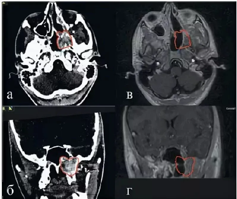
Врачи ЛОР отделения ОДКБ поставили 15-летнему подростку диагноз - опухоль в основании черепа, которая называется "юношеская ангиофиброма". Если эту доброкачественную и быстро растущую опухоль не лечить, пациент может умереть.
Чтобы остановить кровотечение, необходимо перевязать сонные артерии. После постановки диагноза медики решили отправить мальчика в Федеральный центр имени Рогачева в Москве. Уже там ему сделали операцию. Сейчас пациента уже выписали оттуда, и он снова проходит лечение в ЛОР отделении нашей больницы.

Фото: ОДКБ.
